Akoya Aesthetic Dentistry Logo
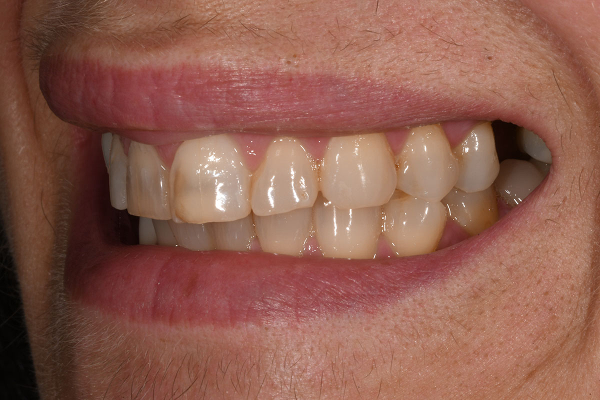
Close up of male patient before cosmetic dental makeover
Close up of male patient after cosmetic dental makeover
Close up of upper jaw before cosmetic dental makeover
Close up of upper jaw after cosmetic dental makeover
Close up of female patient before cosmetic dental makeover
Close up of female patient after cosmetic dental makeover

We can’t wait  to meet you!

Call 438-834-8344 or request an appointment online to set up your first visit. We’ll be in touch soon.